Endosonographie (EUS) in Bern – endoskopischer Ultraschall bei Vivomed

Die Endosonographie (EUS) – auch endoskopischer Ultraschall genannt – kombiniert Endoskopie und Ultraschall in einer Untersuchung. So entstehen hochaufgelöste Bilder aus unmittelbarer Nähe zu Organen und Strukturen wie Bauchspeicheldrüse (Pankreas), Gallenwege, Lymphknoten, Speiseröhre und Magen. Vivomed, Gastroenterologie Bern+1
Bei Vivomed – Gastroenterologie Bern erfolgt die Endosonographie in der Regel ambulant – mit strukturierter Aufklärung, moderner Technik und Fokus auf eine schonende, präzise Diagnostik.

Was ist eine Endosonographie (EUS)?

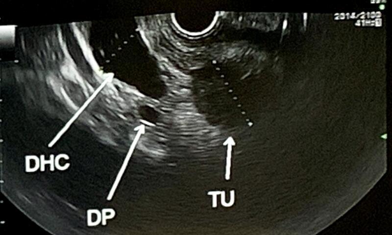
Bei der Endosonographie wird ein flexibles Videoendoskop eingesetzt, das an der Spitze eine Ultraschallsonde trägt. Dadurch können Ärztinnen und Ärzte nicht nur die Schleimhaut sehen, sondern auch Wandschichten und angrenzende Organe beurteilen – besonders Pankreas, Gallenwege und Lymphknoten. Man unterscheidet: 

  • Obere Endosonographie: über den Mund (Speiseröhre, Magen, Zwölffingerdarm – inkl. Pankreas/Gallenwege). 
  • Untere / rektale Endosonographie: über den After (v. a. Mastdarm/Enddarm, z. B. bei Tumorabklärung, Fisteln, Abszessen). 
1

Wann ist eine Endosonographie sinnvoll?

Eine EUS wird häufig empfohlen, wenn eine besonders genaue Abklärung nötig ist – oder wenn Ultraschall/CT/MRI nicht alle Fragen beantworten.

Häufige Gründe:

  • Abklärung der Bauchspeicheldrüse (Pankreas): z. B. unklare Veränderungen, Zysten, Entzündungen. 
  • Gallenwege/Gallestau: Ursachenklärung, z. B. kleine Steine oder Engstellen (EUS kann Gallengangssteine sehr zuverlässig erkennen/ ausschliessen). 
  • Tumorabklärung & Stadieneinteilung (Staging): Speiseröhre, Magen, Pankreas, Mastdarm – inkl. Beurteilung von Lymphknoten. 
  • Rektale Fragestellungen: z. B. Fisteln, Abszesse, Tumoren; Beurteilung der Eindringtiefe hilft bei der Therapieplanung. 

Gewebeprobe (Feinnadelpunktion) – wenn nötig direkt in derselben Untersuchung:

Wenn ein Befund unklar ist, kann die Endosonographie eine gezielte, millimetergenaue Gewebeentnahme ermöglichen (Feinnadelpunktion/ Biopsie) – ohne separaten Eingriff.

Ablauf der Endosonographie bei Vivomed in Bern 

Die Endosonographie wird ähnlich organisiert wie eine Magenspiegelung – inklusive Vorgespräch, Sedation und Erholungszeit danach. 

Typischer Ablauf:

  1. Vorgespräch & Aufklärung (Beschwerden, Vorerkrankungen, Medikamente – besonders Blutverdünner).
  2. Sedation / Kurzschlaf: Patient:innen schlafen entspannt und spüren nichts; Überwachung von Atmung und Kreislauf. 
  3. Durchführung der EUS (hochaufgelöste Ultraschallbilder aus unmittelbarer Nähe): Durch Einführen eines mit einem Ultraschallkopf ausgestatteten Endoskops in den Körper können Ärzte hochauflösende Ultraschallbilder erstellen. Dies hat den Vorteil, dass eine Beurteilung der Organe ohne störende Überlagerung, wie z.B. durch Luft, ermöglicht wird. Dies erleichtert die Beurteilung sehr.
  4. Falls nötig: gezielte Gewebeprobe (Feinnadelpunktion). 
  5. Erholung & Befundbesprechung 

Fazit Endosonographie: 

Die Endosonographie ist ein fortschrittliches Verfahren, das Ihrem Arzt detaillierte Einblicke in Ihre inneren Organe ermöglicht. Es ist ein wichtiges Werkzeug zur Früherkennung und Diagnose von verschiedenen Gesundheitszuständen. Wenn Ihr Arzt die Endosonographie empfiehlt, können Sie sicher sein, dass es dazu dient, die bestmögliche medizinische Versorgung zu gewährleisten.

FAQ-Fragen:  Endosonograhie (EUS).

Warum ist die Endosonographie wichtig? 

Dieses Verfahren ermöglicht Ärzten, präzise Informationen über Ihre Gesundheit zu erhalten, was zu einer frühzeitigen Erkennung und genaueren Diagnose führen kann. Dies trägt dazu bei, geeignete Behandlungspläne zu entwickeln.

Welche Vorbereitung wird empfohlen?

Die Vorbereitung hängt davon ab, ob eine obere oder untere Endosonographie geplant ist:

  • Obere Endosonographie: in der Regel 6 Stunden keine feste Nahrung, und 4 Stunden vorher nichts mehr trinken 
  • Untere/rektale Endosonographie: oft reicht ein Einlauf in der Praxis oder eine definierte Darmvorbereitung – je nach Fragestellung. 
  • Blutverdünner/Antikoagulanzien: unbedingt frühzeitig melden, damit das Vorgehen sicher geplant werden kann.
Ist eine Endosonographie schmerzhaft oder riskant?

Die Endosonographie gilt als gut verträgliche und in der Regel schmerzfreie Untersuchung – besonders, wenn sie im Kurzschlaf durchgeführt wird. 
Wie bei jeder Endoskopie gibt es seltene Risiken, u. a. Reaktionen auf Sedation oder sehr selten Verletzungen – darüber wird im Aufklärungsgespräch transparent informiert.

Endosonographie in Bern: warum Vivomed?
  • Zentral in Bern – gut erreichbar auch aus Deutschschweiz & Wallis 
  • Ambulante Abklärung mit strukturierter Aufklärung und Nachbetreuung.
  • Spezialisierter Fokus auf präzise, schonende Diagnostik 
  • schnelle Terminvergabe ohne lange Wartezeiten
Wie lange dauert eine Endosonographie?

Eine EUS dauert häufig um 30 Minuten, bei therapeutischen/zusätzlichen Schritten auch länger. 

Wird eine Gewebeprobe immer gemacht?

Nein – nur wenn ein Befund das sinnvoll macht. Vorteil: Wenn nötig, ist eine gezielte Feinnadelpunktion direkt möglich. 

Was sieht man mit EUS besser als mit normalem Ultraschall?

EUS liefert sehr detailreiche Bilder, weil der Ultraschall von innen und damit sehr nahe am Organ erfolgt – besonders hilfreich bei Pankreas/Gallenwegen und Lymphknoten.

 

Über den Autor: Dr. med. Stefan Schlosser ist Facharzt für Gastroenterologie und Allgemeine Innere Medizin und hält einen Masterabschluss in Gesundheitsökonomie. Mit über 20 Jahren Berufserfahrung verfügt er über einen breiten klinischen und wissenschaftlichen Erfahrungsschatz. Er ist spezialisiert auf interventionelle minimalinvasive Endoskopie, Funktionsdiagnostik und Endobariatrie. Dr. Schlosser engagiert sich als Kursleiter der SGUM in der Ultraschallausbildung junger Ärzt:innen und ist Mitglied der Schweizer, Europäischen und Amerikanischen Gesellschaft für Gastroenterologie (SGG, ESGE, ASGE). Er arbeitet in einer SIWF-anerkannten ambulanten Weiterbildungsstätte in Bern.